SCIEPublish

Risk Factors for Adverse Outcomes Following Surgical Repair of Simple Coarctation in Early Infancy: A Ten-Year Single Center Review

Article Open Access

Risk Factors for Adverse Outcomes Following Surgical Repair of Simple Coarctation in Early Infancy: A Ten-Year Single Center Review

Author Information
1
Division of Cardiology, Center for Heart Care, Phoenix Children’s, Phoenix, AZ 85016, USA
2
Department of Child Health, University of Arizona, Phoenix, AZ 85004, USA
3
Division of Cardiothoracic Surgery, Center for Heart Care, Phoenix Children’s, Phoenix, AZ 85016, USA
*
Authors to whom correspondence should be addressed.

Received: 01 July 2024 Revised: 07 August 2024 Accepted: 27 August 2024 Published: 02 September 2024

Creative Commons

© 2024 The authors. This is an open access article under the Creative Commons Attribution 4.0 International License (https://creativecommons.org/licenses/by/4.0/).

Views:4699
Downloads:664
Cardiovasc. Sci. 2024, 1(1), 10005; DOI: 10.70322/cvs.2024.10005
ABSTRACT: Coarctation of the aorta is a frequently diagnosed congenital heart defect and often requires surgical repair in early infancy. Infants born with this condition remain at risk for post-operative morbidity and reintervention within the first year of life. A single-center, retrospective chart review was performed. The protocol was approved by the Institutional Review Board (IRB-21-156, 14 August 2021). A 10-year review from January 2010 to December 2020 identified all children diagnosed with coarctation of the aorta or arch hypoplasia; without any associated major congenital cardiac pathology (i.e., simple coarctation). Reintervention-free-survival at one year for all infants who underwent surgical repair was assessed. Patient characteristics for those who did and did not experience significant adverse event (SAE) in the postoperative period were obtained and compared. A total of 105 patients diagnosed with isolated coarctation of the aorta or arch hypoplasia and who underwent surgical repair were identified. Of these, 11 patients (10%) experienced a SAE (i.e., vocal cord palsy, diaphragm palsy, chylothorax, stroke/neurological complication, need for reintubation or tracheostomy, necrotizing enterocolitis, major bleeding or thrombotic vascular complication, or reintervention) in the post-operative period. Patients who experienced a SAE were more likely to have a prenatal diagnosis of coarctation of the aorta (p = 0.03), a known genetic anomaly (p = 0.0001), or had undergone a median sternotomy approach/complex arch repair (i.e., requiring patching of the aorta) (p = 0.0001). Genetic anomaly (mainly Turner syndrome) was the only independent predictor of SAE in multivariate analysis (OR = 6.7) Follow up data at one year was available for 79 patients, with only 6 patients requiring reintervention before 1 year of age. Overall, infants who undergo surgical repair of simple coarctation of aorta have an excellent chance of reintervention-free-survival at one year post intervention. Those with a known genetic anomaly or requiring median sternotomy approach appear to have a higher risk for a SAE in the postoperative period.
Keywords: Coarctation of the aorta; Hypoplastic aortic arch; Arch hypoplasia; Surgical outcomes; Adverse events; Reintervention

1. Introduction

Coarctation of the aorta (CoA) is a common diagnosis in the congenital heart disease population, occurring in approximately 4/10,000 live births, and the second most common cardiac intervention performed in the neonatal period [1,2]. Obstructive aortic arch anomalies range in type and severity. Though mild discrete coarctation or arch hypoplasia may go undiagnosed into adulthood, critical coarctation or near interruption of the arch makes for effectively discontinuous tissue between the thoracic aorta and descending aorta. Obstructive aortic arch lesions can be life threatening and require emergent intervention. Critical obstructions in the neonatal period require prostaglandin infusion to maintain ductal patency and proceed to surgical intervention shortly thereafter [1,2,3,4]. Though a common intervention, coarctation repair is not always without complications or the need for reintervention. Adverse events in the postoperative period occur in approximately 36% of patients [5]. Frequently reported early complications of surgical intervention for coarctation of the aorta include vocal cord palsy, diaphragm palsy, chylothorax, stroke/neurological complication, need for reintubation or tracheostomy, and major bleeding or thrombotic vascular complications. This study aimed to evaluate the incidence of significant adverse events (SAE) in the postoperative period and the rate of reintervention at one-year post-intervention in infants who underwent simple coarctation repair at our institute over a 10-year period. Patient characteristics and potential risk factors associated with SAE were analyzed.

2. Materials and Methods

A single-center, retrospective chart review was performed. The protocol was approved by the Institutional Review Board (IRB-21-156, 14 August 2021). A 10-year review from January 2010 to December 2020 identified all infants (<1 year) diagnosed with coarctation of the aorta or arch hypoplasia; without any associated major congenital cardiac pathology. Simple coarctation was defined as coarctation of the aorta without other significant cardiac pathology, with the exception of bicuspid aortic valve or minor lesions (i.e., small ventricular or atrial septal defects not requiring surgical intervention at the time of the coarctation repair and/or those with a high likelihood of spontaneous resolution). In contrast, complex CoA was defined as CoA in the presence of other significant lesions, such as hypoplastic left heart, vascular ring, or interrupted aortic arch. Complex coarctation with other congenital heart disease that would influence surgical approach or outcomes were excluded. Those who underwent no surgical intervention during infancy were excluded. Data collected included patient demographics, diagnostic data from all available imaging modalities, type of coarctation intervention performed, post-intervention clinical course, immediate outcomes following intervention, and re-intervention data at 1-year post-intervention.

3. Outcomes

Medical records were reviewed to identify patients with simple coarctation. Patients who underwent surgical repair of a simple CoA were identified. Significant adverse events in the postoperative period (30 days) were defined as the occurrence of any of the following: stroke/neurological complication, airway intervention (i.e., reintubation, tracheostomy, etc.), necrotizing enterocolitis, renal injury, major bleeding or thrombotic vascular complication, vocal cord palsy causing feeding difficulty, diaphragm palsy, chylothorax and reintervention. Pre-operative and operative variables influencing outcomes were analyzed and included gender, ethnicity, prenatal diagnosis, age at postnatal diagnosis, birth weight, genetic anomaly, coarctation type (short or long segment) by transthoracic echocardiography, pre-operative advanced imaging (including cardiac CT and MRI), age at surgery, surgical approach, type of repair, and length of aortic cross clamp time. Other outcomes analyzed included length of mechanical ventilation, post-operative length of stay, and hypertension requiring chronic medication.

4. Statistics

Descriptive statistics for continuous variables were summarized as median (interquartile range) and compared using Wallis tests; and as median with SEM and compared using the student t-test. Categorical variables were presented as percentages and compared using Pearson χ2/Fisher’s exact tests. Univariate analysis was used to compare the demographic characteristics and surgical approaches of patients who did and did not experience a significant adverse event (SAE) in the postoperative period prior to hospital discharge, taking a p value of <0.05 as statistically significant. Factors identified as possible risk factors for SAE in the post-operative period were further compared using binary logistic regression (multi-variate analysis). Patient records were analyzed to calculate and compare intervention-free-survival for all infants who underwent surgical repair, using Kaplan-Meier-survival analysis. Study data were collected and managed using REDCap electronic data capture tools hosted at University of Arizona. Data analysis was performed using SPSS (version 28) statistical software licensed with University of Arizona.

5. Results

A total of 121 patients were diagnosed with isolated coarctation of the aorta or arch hypoplasia over the ten-year study period. Of these, 7 patients did not require any intervention, and additionally 9 patients underwent transcatheter aortic angioplasty as their prior intervention and were therefore excluded. A total of 105 patients underwent surgical repair during the first year of life. Surgical techniques included coarctation excision with end-to-end anastomosis, extended end-to-end anastomosis/aortic arch advancement, and aortic arch augmentation with bovine pericardium patch. No patients underwent subclavian flap technique. During the post-operative period, 11 patients (10%) experienced one or more SAEs, which included chylothorax (N = 8), vocal cord palsy (N = 6), diaphragm palsy (N = 1), right diaphragm eventration (N = 1), severe subglottic stenosis (N = 1), acute kidney injury (N = 2) and necrotizing enterocolitis (N = 1) in the post-operative period. Table 1 compares the preoperative and operative characteristics of the study groups. Patients in the SAE group were more likely to have a known genetic anomaly (p = 0.0001) or had undergone a median sternotomy approach/complex arch repair (i.e., requiring patching of the aorta) (p = 0.0001). Turner syndrome (45 XO) was the most common genetic anomaly (3/3 patients in the SAE group, 2/7 patients in the non-SAE group). Other genetic abnormalities included Trisomy 21, Kabuki syndrome, and variants of uncertain significance (i.e., microdeletions or duplications). Interestingly, those with a prenatal diagnosis of coarctation had higher risk for SAE (p = 0.03), On multi-variate binary logistic regression analysis, genetic anomaly was the only independent predictor of SAE in the post-operative period (adjusted Odds Ratio = 6.8) (p = 0.04, 95% CL = 1.1 to 43). Factors which did not appear to be related to a SAE included ethnicity, age at diagnosis, birth weight, coarctation type (short or long segment), use of pre-operative advanced cross-sectional imaging for surgical guidance (Figure 1), age at surgery, or mean aortic cross clamp time.
Table 1. Risk factors for significant adverse events (SAE) in infants who underwent surgical repair for simple coarctation.
Table 2 compares the immediate and one-year follow up of these two groups. In the cohort, there were no deaths within the first 30 days. Patients who experienced SAE had a longer post-operative length of stay (p = 0.02). Follow up data at one year was available for 79 patients, with only 3 (4%) requiring reintervention before 1 year of age. One year follow-up data was not available for one patient from SAE group and for 33 patients in the non-SAE group. Of the 71 patients followed at one-year post-intervention, only 2 patients (4%) required reintervention within the first year post-operatively. One patient required cardiac catheterization with balloon angioplasty of the aorta and one patient required surgical reintervention with an aortic arch plasty. There were no deaths at the 1-year mark in the cohort.
Table 2. Immediate and One -year outcomes of the study population.
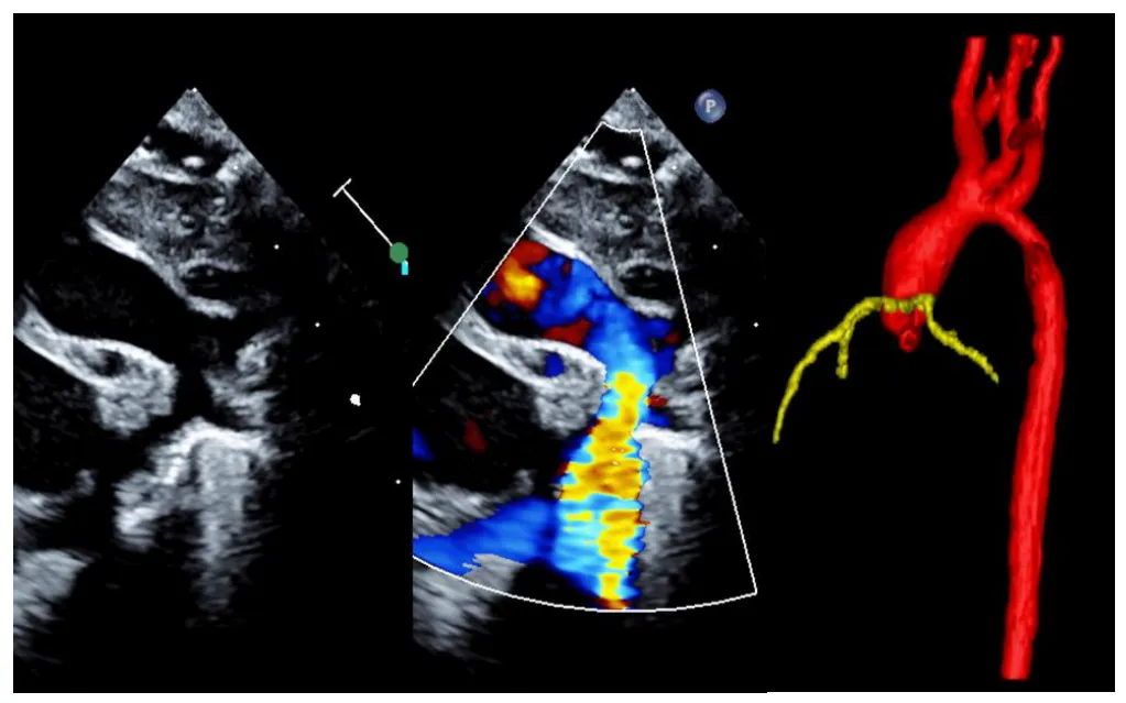
Figure 1. Diagnostic image of a newborn with coarctation as seen on sagital plane transthoracic echocardiogram (2D and color Doppler imaging) and CT angiogram (3D reconstruction).

6. Discussion

We reviewed all patients diagnosed with simple coarctation of aorta who underwent surgical repair in infancy at our institute over a 10-year period (N = 105). Overall, most patients (~90%) had excellent immediate post-surgical outcomes. Patients with Turner Syndrome and those requiring median sternotomy surgical approach (for reasons such as long segment coarctation/complex arch repair or poor preoperative clinical status) appeared to be at a higher risk for post-operative morbidity based on our univariate analysis. Follow up of this cohort showed that they continued to have an excellent prognosis for survival free of reintervention (>96%). This data may be helpful for patient counselling and management of neonatal coarctation. In a study of 133 patients with simple coarctation repair by Minotti et al. [3], about 7% of patients had significant postoperative complications (heart failure, respiratory failure, infection/sepsis, arrhythmia, renal failure, pulmonary hypertension, and other), however only 2% of patients in their cohort required a median sternotomy approach [3]. Our cohort had a slightly larger number of infants requiring median sternotomy (9%) compared to their study, which creates a higher risk profile for these patients. Repair by lateral thoracotomy has demonstrated advantages, including avoidance of cardiopulmonary bypass or deep hypothermic cardiac arrest, shorter operative times, shorter times on the conventional ventilator, shorter cardiopulmonary bypass stays, decreased risk of infection, and low early mortality [6,7,8]. However, patients with proximal arch narrowing may not be candidates for end-to-end anastomosis or extended end-to-end anastomosis via lateral thoracotomy and may require median sternotomy [6,7,8,9,10]. This approach may also be necessary in patients with poor pre-operative clinical status such low cardiac output, end organ dysfunction, or operator preference. However, despite the need for cardiopulmonary bypass with or without deep hypothermic cardiac arrest, median sternotomy has been shown to have low morbidity and mortality, with some arguing that there is more reliable growth of the transverse arch and a better hemodynamic profile postoperatively [6,9]. Ungerleider et al. reports that cardiopulmonary bypass was not associated with significantly increased mortality [5]. About 36% of patients in our cohort, who required median sternotomy approach, experienced SAE. However, these patients still had overall excellent prognosis at 1 year follow up. Adamson, et al. demonstrated a need for reintervention in 4–10% of cases due to recurrent aortic arch obstruction [11]. Some studies have noted an aberrant right subclavian artery or bovine arch anatomy to be risks for reintervention [12,13]. Overall, there have been inconsistent reports of recurrence rates based on surgical approach. Some studies do not report a significant difference in outcomes between lateral thoracotomy and sternotomy [6,7]. Extended end-to-end anastomosis recoarctation rates have been reported to range from 4–13% at 5–10 years post-op [9]. Other studies have noted there to be evidence of appropriate proximal aortic arch catch up growth via the lateral thoracotomy approach, especially in the neonatal period, with a low rate of reintervention [10,14]. Our study group had a very low risk for reintervention irrespective of the initial surgical approach. In a review of The Society of Thoracic Surgeons Congenital Heart Surgery Database (STS-CHSD) over a 4-year period, 2705 patients were identified as having undergone coarctation repair [5]. Patients who underwent simple coarctation repair tended to be older in age when compared to patients with concomitant ventricular septal defect or other complex cardiac disease. The incidence of chylothorax remained low in the population. Recurrent laryngeal nerve injury occurred in 1.6% of patients. Of the patients who underwent SAE in our cohort, 6 experienced vocal cord palsy, and 1 had chylothorax. Prenatal diagnosis of coarctation allows for early echocardiographic evaluation and initiation of prostaglandins following delivery. Accordingly, previous studies have shown that prenatally diagnosed neonates had lower risk for SAE [7,15,16] On the contrary, in our patient population; those with prenatal diagnosis had a slightly higher risk for post-operative SAE (20/24, 83%). This could be the result of our smaller sample size or may be due to our specific inclusion of only those neonates with simple coarctation. Simple coarctation, in the absence of any major cardiac anomaly, is very challenging to diagnose in the prenatal period due to the presence of the ductal arch [17]. Patients in our cohort with a prenatal diagnosis of coarctation (N = 24) more commonly underwent median sternotomy than lateral thoracotomy (17 vs. 7) suggesting arch hypoplasia requiring a more complex repair. Our data highlights the negative impact of Turner Syndrome on patient outcomes in this population. About one third (27%) of the patients with a SAE had a diagnosis of Turner Syndrome. This also explains the female predominance in the SAE (p = 0.001). In a review of the STS-CHSD from 2000–2017, Chew et al. reports that coarctation repair and aortic arch repair were very common interventions in those with Turner Syndrome, accounting for 35% and 15% of the 780 operations respectively. Patients with Turner Syndrome had a higher rate of chylothorax than the general population (8.8% vs. 2.8%). Additionally, the median length of stay in the postoperative period in the Turner Syndrome population was longer for both discrete coarctation repair as well as hypoplastic arch repair. There was not increased operative mortality [18]. This study also explores the role of advanced imaging and its effect on immediate outcomes in infants with coarctation. About 38% of patients in our cohort underwent advanced imaging for pre-operative planning prior to intervention. There was no significant difference in occurrence of SAE in those who did or did not undergo evaluation via advanced imaging. The study thus indicates that advanced imaging with its associated risks of exposure to contrast agents, radiation, and general anesthesia may not be necessary for surgical planning in simple coarctation patients. Transthoracic echocardiography may be adequate in most cases. Our study should have limited confounding bias by indication, as surgical cases that would predicate median sternotomy for another pathology were excluded. Limitations to the study include the retrospective nature of chart review, the timeframe for follow-up, the population size, and the single center review. Bicuspid valve morphology could not be accurately described for all cases, due to the retrospective nature of the study, therefore a comparison of this specific anatomic feature in relation to SAEs was not completed. Other limitations include the ability to pull the entirety of the patient population based on echocardiographic diagnosis coding.

7. Conclusions

Overall, infants who undergo surgical repair of simple coarctation of aorta have an excellent chance of reintervention-free-survival at one-year post-intervention. Those with a known genetic anomaly and those requiring median sternotomy approach appear to have a higher risk for SAE in the postoperative period. Larger longitudinal studies would be useful in further risk stratification of these infants.

Author Contributions

Conceptualization, C.L.B. and D.P.B.; Methodology, C.L.B. and D.P.B.; Validation, D.P.B.; Formal Analysis, D.P.B.; Investigation, C.L.B.; Data Curation, C.L.B. and D.P.B., Writing-Original Draft, C.L.B. and D.P.B.; Writing—Review & Editing C.L.B., R.B.III and D.P.B.; Visualization, C.L.B. and D.P.B.; Supervision, D.P.B. and R.B.III; Project Administration, C.L.B. and D.P.B.

Ethics Statement

The study was conducted according to the guidelines of the Declaration of Helsinki, and approved by the Institutional Review Board (or Ethics Committee) of Phoenix Children’s (IRB-21-156, 14 August 2021).

Informed Consent Statement

The research met the criteria of 45 CFR 46.116(f)(3), therefore patient consent was waived.

Funding

This research received no external funding.

Declaration of Competing Interest

The authors declare that they have no known competing financial interests or personal relationships that could have appeared to influence the work reported in this paper.

References

  1. 1.
    Hanneman K, Newman B, Chan F. Congenital Variants and Anomalies of the Aortic Arch. RadioGraphics 2017, 37, 32–51. doi:10.1148/rg.2017160033.[Google Scholar]
  2. 2.
    Ganigara M, Doshi A, Naimi I, Mahadevaiah GP, Buddhe S, Chikkabyrappa SM. Preoperative Physiology, Imaging, and Management of Coarctation of Aorta in Children. In Seminars in Cardiothoracic and Vascular Anesthesia; SAGE Publications: Los Angeles, CA, USA, 2019; Volume 23. doi:10.1177/1089253219873004.
  3. 3.
    Minotti C, Scioni M, Castaldi B, Guariento A, Biffanti R, Di Salvo G, et al. Effectiveness of Repair of Aortic Coarctation in Neonates: A Long-Term experience.  Pediatr. Cardiol. 2022, 43, 17–26. doi: 10.1007/s00246-021-02685-z.[Google Scholar]
  4. 4.
    Friedman K. Preoperative Physiology, Imaging, and Management of Interrupted Aortic Arch. In Seminars in Cardiothoracic and Vascular Anesthesia; SAGE Publications: Los Angeles, CA, USA, 2018; Volume 22. doi:10.1177/1089253218770198.
  5. 5.
    Ungerleider RM, Pasquali SK, Welke KF, Wallace AS, Ootaki Y, Quartermain MD, et al. Contemporary patterns of surgery and outcomes for aortic coarctation: An analysis of the Society of Thoracic Surgeons Congenital Heart Surgery Database.  J. Thorac. Cardiovasc. Surg. 2013, 145, 150–157; discussion 157–158. doi: 10.1016/j.jtcvs.2012.09.053. [Google Scholar]
  6. 6.
    Gray WH, Wells WJ, Starnes VA, Kumar SR. Arch Augmentation via Median Sternotomy for Coarctation of Aorta with Proximal Arch Hypoplasia. Ann. Thorac. Surg. 2018, 106, 1214–1219. doi:10.1016/j.athoracsur.2018.04.025. [Google Scholar]
  7. 7.
    Gropler MRF, Marino BS, Carr MR, Russell WW, Gu H, Eltayeb OM, et al. Long-Term Outcomes of Coarctation Repair Through Left Thoracotomy. Ann. Thorac. Surg. 2019, 107, 157–164. doi:10.1016/j.athoracsur.2018.07.027. [Google Scholar]
  8. 8.
    Ramachandran P, Khoury PR, Beekman RH, Michelfelder EC, Manning PB, Tweddell JS, et al. Preoperative Aortic Arch Size and Late Outcome After Coarctation Repair by Lateral Thoracotomy. Ann. Thorac. Surg. 2018, 106, 575–580. doi:10.1016/j.athoracsur.2018.03.084. [Google Scholar]
  9. 9.
    Ma Z-L, Yan J, Li S-J, Hua Z-D, Yan F-X, Wang X, et al. Coarctation of the Aorta with Aortic Arch Hypoplasia. Chin. Med. J. 2017, 130, 2802–2807. doi:10.4103/0366-6999.2152794. [Google Scholar]
  10. 10.
    Kotani Y, Anggriawan S, Chetan D, Zhao L, Liyanage N, Saedi A, et al.  Fate of the Hypoplastic Proximal Aortic Arch in Infants Undergoing Repair for Coarctation of the Aorta Through a Left Thoracotomy. Ann. Thorac. Surg. 2014, 98, 1386–1393. doi:10.1016/j.athoracsur.2014.05.042. [Google Scholar]
  11. 11.
    Adamson G, Karamlou T, Moore P, Natal-Hernandez L, Tabbutt S, Peyvandi S. Coarctation Index Predicts Recurrent Aortic Arch Obstruction Following Surgical Repair of Coarctation of the Aorta in Infants. Pediatr. Cardiol. 2017, 38, 1241–1246. doi:10.1007/s00246-017-1651-4. [Google Scholar]
  12. 12.
    Kaushal S, Backer CL, Patel JN, Patel SK, Walker BL, Weigel TJ, et al. Coarctation of the Aorta: Midterm Outcomes of Resection with Extended End-to-End Anastomosis. Ann. Thorac. Surg. 2009, 88, 1932–1938. doi:10.1016/j.athoracsur.2009.08.035. [Google Scholar]
  13. 13.
    Turek JW, Conway BD, Cavanaugh NB, Meyer AM, Aldoss O, Reinking BE, et al. Bovine arch anatomy influences recoarctation rates in the era of the extended end-to-end anastomosis. J. Thorac. Cardiovasc. Surg. 2018, 155, 1178–1183. doi:10.1016/j.jtcvs.2017.10.05H. [Google Scholar]
  14. 14.
    Karamlou T, Bernasconi A, Jaeggi E, Alhabshan F, Williams WG, Van Arsdell GS, et al. Factors associated with arch reintervention and growth of the aortic arch after coarctation repair in neonates weighing less than 2.5 kg. J. Thorac. Cardiovasc. Surg. 2009, 137, 1163–1167. doi:10.1016/j.jtcvs.2008.07.065. [Google Scholar]
  15. 15.
    Madan N, Yau JL, Srivastava S, Nielsen JC. Comparison Between Proximal Thoracic Vascular Measurements Obtained by Contrast-Enhanced Magnetic Resonance Angiography and by Transthoracic Echocardiography in Infants and Children with Congenital Heart Disease. Pediatr. Cardiol. 2013, 34, 492–497. doi:10.1007/s00246-012-0480-8. [Google Scholar]
  16. 16.
    Franklin O, Burch M, Manning N, Sleeman K, Gould S, Archer N. Prenatal diagnosis of coarctation of the aorta improves survival and reduces morbidity. Heart 2002, 87, 67–69. doi: 10.1136/heart.87.1.67. [Google Scholar]
  17. 17.
    Buyens A, Gyselaers W, Coumans A, Al Nasiry S, Willekes C, Boshoff D, et al. Difficult prenatal diagnosis: Fetal coarctation. Facts Views Vis. Obgyn. 2012, 4, 230–236. [Google Scholar]
  18. 18.
    Chew JD, Hill KD, Jacobs ML, Jacobs JP, Killen SA, Godown J, et al. Congenital Heart Surgery Outcomes in Turner Syndrome: The Society of Thoracic Surgeons Database Analysis. Ann. Thorac. Surg. 2019, 108, 1430–1437. doi:10.1016/j.athoracsur.2019.05.047. [Google Scholar]
TOP