Learning Points
- -
 
- 
Behçet’s disease (BD) is a rare and forgotten cause of tricuspid stenosis (TS).
 
- -
 
- 
Per the ICBD criteria for diagnosis of BD, ocular lesions, oral aphthosis and genital aphthosis are each assigned 2 points, while skin lesions, central nervous system involvement, and vascular manifestations are given 1 point each. The pathergy test, when used, is assigned 1 point. A patient scoring ≥4 points is classified as having BD.
 
- -
 
- 
Immunosuppressant therapy may lead to an excellent response to pulmonary artery aneurysm; however, it seems to have little effect on the course of TS.
 
- -
 
- 
Surgical approach for valvopathy caused by BD is associated with a high-risk of dehiscence of the prosthetic valve, perivalvular leakage, false aneurysm at the cannulation site, dehiscence of the sternotomy site, and death.
 
 
                                                                        
                                        
                                        1. Introduction                                    
                                                                        Behçet’s disease (BD) is a variable vessel vasculitis of unknown etiology [
1,
2]. The typical onset of BD is in the third decade, and the disease has a more severe course in males despite affecting both genders equally [
1,
3,
4]. BD is a complex disease that can affect the skin, mucosa, vessels, joints, eyes, nerves, gastrointestinal system, and the heart [
5]. Behçet’s disease (BD) is particularly characterized by oral aphthae, along with at least two of the following: genital ulcers, ocular lesions, skin lesions, or a positive pathergy test [
6]. Cardiovascular presentations in BD are rare but fatal [
7]. 
Here, we present a case of Behçet’s disease with severe tricuspid stenosis (TS) and pulmonary artery aneurysm. Nonrheumatic tricuspid valve stenosis is extremely rare, and to our knowledge, there are only a few cases previously reported in the English literature in patients with BD [
8]. 
 
                                                                        
                                        
                                        2. Case Presentation                                    
                                                                        2.1. History and Physical
A 29-year-old man presented with an 18-month history of intermittent episodes of dyspnea on exertion, fever, and hemoptysis. He reported recurrent painful oral and genital ulcers that lasted up to 10 days and reoccurred at least 10 times a year. He also had orthopnea, lower extremity edema, severe acneiform lesions, and asymmetric arthralgias affecting knees, ankles, and shoulders. Upon physical examination, the patient was in no acute distress. A papulopustular rash was found on his back and chest. A single one-centimeter ulcer with a well-defined border and a white base was noted on the oral mucosa (A). Two genital ulcers were also seen (B). Heart auscultation revealed a diastolic murmur best heard on the left lower sternal border. Bilateral pedal edema was present. The rest of the physical exam was unremarkable. 
.  (<b>A</b>) Oral ulcers and (<b>B</b>) genital ulcers. (<b>C</b>) Computed Tomography with Angiography (CTA) of the chest revealed a saccular aneurysm in the inferior branch of the right pulmonary artery, a sub-segmental pulmonary embolus and tricuspid thickening and right atrial mass. (<b>D</b>) CTA showing right atrial mass. 1E Cardiac magnetic resonance imaging (MRI) revealed an area of intramyocardial fibrosis in the AV groove 1F right atrial avascular mass and consistent with thrombus stenosing the lumen of the tricuspid valve associated with severe tricuspid stenosis (<b>E</b>,<b>F</b>).
 
2.2. Labs and Imaging
C-reactive protein was at 6.28 (nl < 0.3 mg/dL). VDRL was negative. Computed tomography angiography (CTA) showed a 2.0 cm saccular aneurysm in the right inferior lobar pulmonary artery, a right atrial mass occupying nearly all of the right atrium, and a partial filling defect in the left inferior lobar pulmonary artery suggestive of chronic pulmonary thrombosis/embolism (C,D). There was no evidence of peripheral or central vein thrombosis. Transthoracic echocardiogram (TTE) showed a dilated right atrium, a thickened tricuspid valve causing severe stenosis, and a hyperechogenic lesion sized 32 × 27 mm in the right atrium. Mitral and aortic valves as well as the left ventricular ejection fraction, were normal. 
Cardiac magnetic resonance imaging (MRI) revealed an area of intramyocardial fibrosis, along with an avascular right atrial mass consistent with a thrombus, which was stenosing the lumen of the tricuspid valve (E,F).
Based on the International Criteria for Behçet’s disease (2006) [
6] the patient scored six points(only four are required for diagnosis). 
2.3. Initial Treatment
The patient was started on monthly cyclophosphamide pulses (750 mg/m
2), azathioprine (150 mg daily), and prednisone (20 mg daily). TS was initially approached with furosemide (40 mg daily) and spironolactone (25 mg daily). Anticoagulation was started, but it was discontinued prematurely after an episode of severe hemoptysis.
2.4. Outcome and Follow-up
After 4 months of the initial therapy, hemoptysis improved, and a repeated chest MRI showed a decrease in the right inferior lobar pulmonary artery dilation from 2.0 cm to 1.0 cm. There was minimal change in the intramyocardial fibrosis and/or tricuspid stenosis. However, due to recurrent flares of oral ulcers, fever, and arthralgias, the immunosuppressant therapy was switched to infliximab (300 mg daily) and prednisone (5 mg daily). Over the next two years on this immunobiological treatment, his BD flares were appropriately controlled, though he continued to have symptoms of right heart failure. Echocardiography showed a tricuspid valvular area of 0.74 cm
2 with mild regurgitation, and the inferior vena cava was plethoric and not collapsible. Therefore, the patient was referred for tricuspid valve replacement. The procedure was considered high-risk, but potentially lifesaving. The patient and the family were informed of the risks and agreed to proceed with the surgical treatment. Intraoperative findings of extensive tricuspid annular inflammation and fibrosis () prevented the biological tricuspid prosthesis from being anchored. The procedure finished with a single right heart chamber. In the immediate postoperative period, the patient had refractory cardiogenic shock and died.
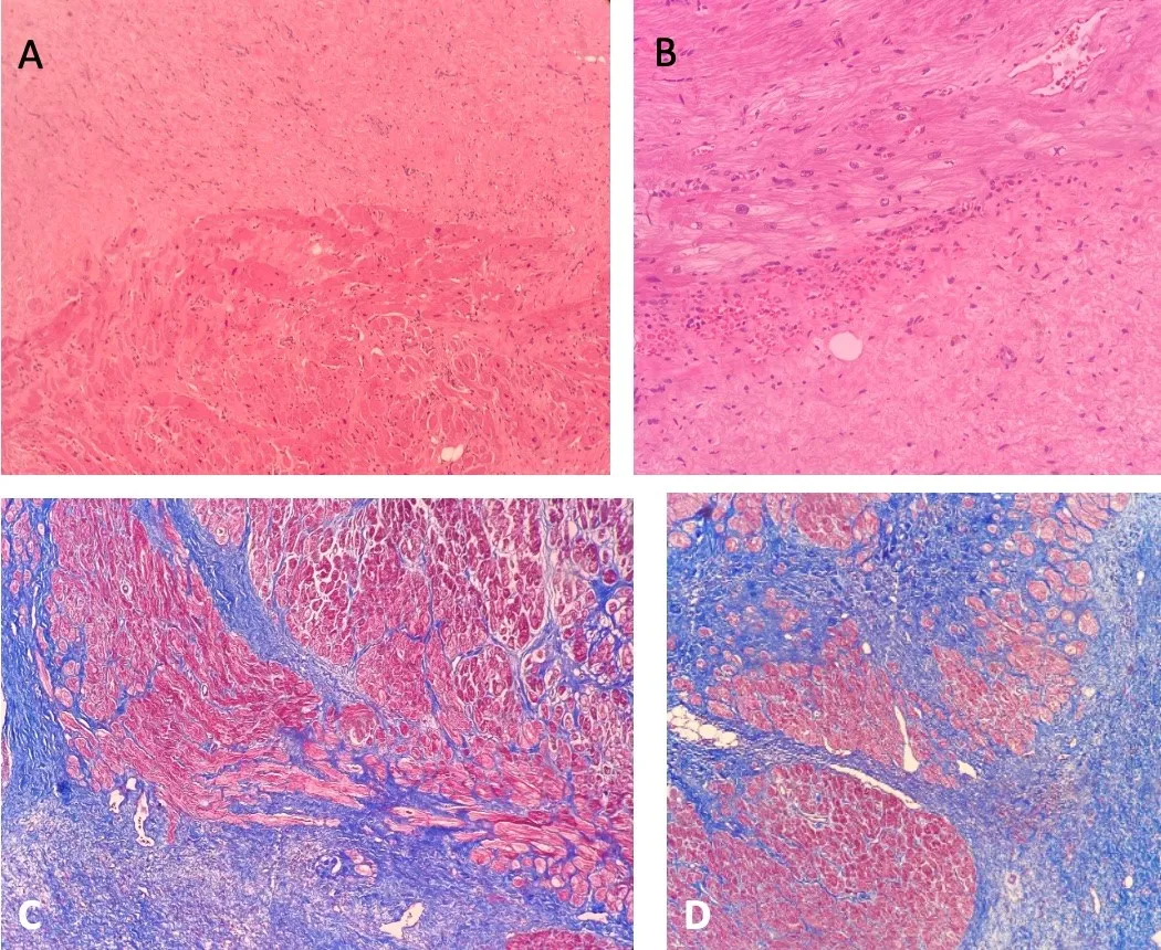
.  (<b>A</b>,<b>B</b>) (HE, ×20 and ×10) Monomorphic fibroblast proliferation without necrosis or mitosis associated with myocyte hypertrophy. (<b>C</b>,<b>D</b>) (Masson’s trichome, ×10) Collagen deposition with infiltrative borders.
 
 
                                                                        
                                        
                                        3. Discussion                                    
                                                                        Acquired tricuspid stenosis (TS) is an uncommon valvular abnormality. Rheumatic heart disease is the most common cause of TS. However, this condition may also be caused by other disorders such as vasculitis, hypereosinophilic syndrome, carcinoid syndrome, non-bacterial thrombotic endocarditis, and infective endocarditis [
9]. Our patient presented with severe TS secondary to BD associated with a pulmonary artery aneurysm, intra-atrial thrombus, and significant endomyocardial fibrosis.
Cardiac involvement of BD is rare and is usually associated with poor prognosis. Abnormalities that can occur include pericarditis, myocarditis, coronary arteritis, endomyocardial fibrosis, intracardiac thrombosis, and non-bacterial thrombotic endocarditis [
7]. Aortic regurgitation is the most common valvopathy associated with BD. TS caused by BD is extremely rare [
8].
Our patient may have had a variant of BD known as Hughes-Stovin Syndrome (HSS), which classically affects young men and typically presents with dyspnea, chest pain, and signs of pulmonary hypertension following a history of deep venous thrombosis. Cardiac thrombi, particularly in the right ventricle, remain a rare manifestation of HSS [
10,
11].
The pathophysiology of TS caused by BD is yet to be understood. Exclusion of other TS causes, such as cardiac rheumatic disease can be challenging. Most cases of tricuspid rheumatic disease present with tricuspid regurgitation or a combination of regurgitation and stenosis; pure TS is very uncommon. Rheumatic tricuspid disease almost never occurs as an isolated lesion and is nearly always associated with mitral valve disease and, in some cases, aortic valve disease [
12]. Our patient had no past medical history of rheumatic disease, and the other cardiac valves were normal. In this case, the TS is most likely caused by thrombus formation, inflammation, and resulting fibrosis, as described in MRI findings and noted in intraoperative findings.
TS is generally diagnosed by transthoracic echocardiogram (TTE). The diagnosis of TS is based on identifying the following combination of echocardiographic abnormalities [
13]: thickened tricuspid valve leaflets with limited mobility; high velocity turbulent diastolic flow through the tricuspid valve; and prolonged pressure half-time. Our patient had clear signs of TS on the TTE associated with persistent symptoms of right heart failure.
There is no single laboratory test that can diagnose BD. Even the histopathological findings are not specific. In 2014, the International Team for the Revision of the International Criteria for BD (ICBD) proposed criteria that were derived from a multinational database. For the ICBD criteria, ocular lesions, oral aphthosis and genital aphthosis are each assigned 2 points, while skin lesions, central nervous system involvement, and vascular manifestations are assigned 1 point each. The pathergy test, when used, is assigned 1 point. A patient scoring ≥4 points is classified as having BD. Our patient scored 6 points [
7].
Limited data is available to guide the treatment of TS, especially when it is caused by BD vasculitis. A series of cases of treatment of aortic regurgitation associated with BD have been reported, and they might serve as a reference [
14,
15].
Most patients with aortic regurgitation and BD need valve replacement surgery. Severe complications such as dehiscence of the prosthetic valve, perivalvular leakage, false aneurysm at the cannulation site, dehiscence of the sternotomy site, and death have been reported [
14,
15]. In a single-center study,  using biological immunosuppressors might be effective and well-tolerated for the perioperative management of severe and refractory aortic regurgitation caused by BD [
16]. In the study of 20 patients, Sun reported a significant reduction in postoperative perivalvular leak occurrence. Despite being on infliximab for 16 months, our patient experienced severe dehiscence of the biological prosthesis during surgery, which prevented the surgeon from properly anchoring the device.
Our patient presented with another rare cardiovascular condition not related to his TS: the right lower lobar pulmonary artery aneurysm. This setting has no clear guidelines for the best approach to managing pulmonary aneurysms. Aneurysms ≥ 5.5 cm or symptomatic aneurysms seem to benefit from surgical treatment. However, in cases like ours where there is aneurysmatic dilatation secondary to vasculitis, immunosuppressor therapy should be considered as definitive treatment before a surgical approach. Our patient did have a complete resolution of his right lower lobar pulmonary artery aneurysm after his treatment with immunosuppressant therapy [
17].
It is unclear if the discontinuation of anticoagulation due to hemoptysis posed a significant management challenge in this case. The early cessation of anticoagulation may have contributed to its progression. This likely led to thrombus organization and fibrosis, ultimately resulting in tricuspid stenosis.
This report shows the complexity of the diagnostic and therapeutic approach to BD with severe TS and pulmonary artery aneurysm. The optimal treatment of TS in BD is still unknown. Immunosuppressant therapy alone has the potential to resolve the aneurysmatic dilatation of the pulmonary artery. However, it seems to have little effect on reverting the severity of TS caused by BD [
16]. Diuretic therapy may help with the management of systemic edema, but the mechanical issue should be addressed by surgical intervention. The surgical team, patients, and patients’ families should be aware of the high risk of complications.
 
                                                                        
                                                                        
                                                                        
                                                                        
                                                                        
                                        
                                        Acknowledgments                                    
                                                                        The authors have no acknowledgments to declare.
                                                                        
                                        
                                        Author Contributions                                    
                                                                        Conceptualization, N.d.A.L., E.F.d.C.J., F.F.C.F., H.C.L.F., S.R., G.G., A.K.M.N.; Methodology, N.d.A.L., A.K.M.N.; Writing—Original Draft Preparation, N.d.A.L., E.F.d.C.J., F.F.C.F., H.C.L.F., S.R., G.G., A.K.M.N.; Writing—Review & Editing, N.d.A.L., E.F.d.C.J., F.F.C.F., H.C.L.F., S.R., G.G., A.K.M.N.; Supervision, N.d.A.L., A.K.M.N.; Project Administration, A.K.M.N.
                                                                        
                                        
                                        Ethics Statement                                    
                                                                        Institutional Review Board (IRB) approval was not required for this case report, as case reports are exempt from IRB review.
                                                                        
                                        
                                        Informed Consent Statement                                    
                                                                        Written informed consent for publication was obtained from the patient prior to her passing.
                                                                        
                                        
                                        Data Availability Statement                                    
                                                                        Data is available upon request. 
                                                                        
                                        
                                        Funding                                    
                                                                        This research received no external funding.
                                                                        
                                        
                                        Declaration of Competing Interest                                    
                                                                        The authors declare that they have no known competing financial interests or personal relationships that could have appeared to influence the work reported in this paper.
    
                                                                            
                                            
                                            References
                                        
                                        
                                                                                
                                            
                                                                                                
                                                
                                                    1.
                                                    
                                                                                                Yazici H, Seyahi E, Hatemi G, Yazici Y. Behçet syndrome: a contemporary view. 
Nat. Rev. Rheumatol. 2018, 
14, 107–119. doi:10.1038/nrrheum.2017.208. 
[Google Scholar]                                                     
                                                 
                                                                                            
                                                
                                                    2.
                                                    
                                                                                                Karadag O, Bolek EC. Management of Behcet’s syndrome. 
Rheumatology 2020, 
59, iii108–iii117. doi:10.1093/rheumatology/keaa086. 
[Google Scholar]                                                     
                                                 
                                                                                            
                                                
                                                    3.
                                                    
                                                                                                Kural-Seyahi E, Fresko I, Seyahi N, Ozyazgan Y, Mat C, Hamuryudan V, et al. The long-term mortality and morbidity of Behçet syndrome: a 2-decade outcome survey of 387 patients followed at a dedicated center. 
Medicine 2003, 
82, 60–76. doi:10.1097/00005792-200301000-00006. 
[Google Scholar]                                                     
                                                 
                                                                                            
                                                
                                                    4.
                                                    
                                                                                                Seyahi E. Phenotypes in Behçet’s syndrome. 
Intern. Emerg. Med. 2019, 
14, 677–689. doi:10.1007/s11739-019-02046-y. 
[Google Scholar]                                                     
                                                 
                                                                                            
                                                
                                                    5.
                                                    
                                                                                                Yazici H, Ugurlu S, Seyahi E. Behçet syndrome: is it one condition? 
Clin. Rev. Allergy Immunol. 2012, 
43, 275–280. doi:10.1007/s12016-012-8319-x. 
[Google Scholar]                                                     
                                                 
                                                                                            
                                                
                                                    6.
                                                    
                                                                                                Disease ISGfBs. Criteria for diagnosis of Behçet’s disease. International Study Group for Behçet’s Disease. 
Lancet 1990, 
5, 335. 
[Google Scholar]                                                     
                                                 
                                                                                            
                                                
                                                    7.
                                                    
                                                                                                Geri G, Wechsler B, Isnard R, Piette JC, Amoura Z, Resche-Rigon M, et al. Spectrum of cardiac lesions in Behçet disease: a series of 52 patients and review of the literature. 
Medicine 2012, 
91, 25. 
[Google Scholar]                                                     
                                                 
                                                                                            
                                                
                                                    8.
                                                    
                                                                                                Lee HS, Choi WS, Kim KH, Kang JK, Kim NY, Park SH, et al. Aseptic endocarditis in Behçet’s disease presenting as tricuspid valve stenosis. 
Korean Circ. J. 2011, 
41, 399–401. 
[Google Scholar]                                                     
                                                 
                                                                                            
                                                
                                                    9.
                                                    
                                                                                                Waller BF, Howard J, Fess S. Pathology of tricuspid valve stenosis and pure tricuspid regurgitation--Part I. 
Clin. Cardiol. 1995, 
18, 97. 
[Google Scholar]                                                     
                                                 
                                                                                            
                                                
                                                    10.
                                                    
                                                                                                Anupama BK, Tymko C, Subedi R, Virk J, Chaudhuri D. Hughes Stovin syndrome, a rare form of Behcet’s disease presenting as recurrent intracardiac thrombus. 
Cureus 2020, 
1, 12. 
[Google Scholar]                                                     
                                                 
                                                                                            
                                                
                                                    11.
                                                    
                                                                                                Khalid U, Saleem T. Hughes-Stovin syndrome. 
Orphanet J. Rare Dis. 2011, 
6, 1–11. 
[Google Scholar]                                                     
                                                 
                                                                                            
                                                
                                                    12.
                                                    
                                                                                                Roguin A, Rinkevich D, Milo S, Markiewicz W, Reisner SA. Long-term follow-up of patients with severe rheumatic tricuspid stenosis. 
Am. Heart J. 1998, 
136, 103. 
[Google Scholar]                                                     
                                                 
                                                                                            
                                                
                                                    13.
                                                    
                                                                                                Nishimura RA, Otto CM, Bonow RO, Carabello BA, Erwin JP, Guyton RA, et al. 2014 AHA/ACC guideline for the management of patients with valvular heart disease: A report of the American College of Cardiology/American Heart Association Task Force on Practice Guidelines. 
J. Am. Coll. Cardiol. 2014, 
63, e57. 
[Google Scholar]                                                     
                                                 
                                                                                            
                                                
                                                    14.
                                                    
                                                                                                Lee CW, Lee J, Lee WK, Lee CH, Suh CH, Song CH, et al. Aortic valve involvement in Behçet’s disease. A clinical study of 9 patients. 
Korean J. Intern. Med. 2002, 
17, 51–56. 
[Google Scholar]                                                     
                                                 
                                                                                            
                                                
                                                    15.
                                                    
                                                                                                Ma WG, Zheng J, Zhu JM, Liu YM, Li M, Sun LZ. Aortic Regurgitation Caused by Behçet’s Disease: Surgical Experience during an 11-Year Period. 
J. Card Surg. 2012, 
27, 39–44. 
[Google Scholar]                                                     
                                                 
                                                                                            
                                                
                                                    16.
                                                    
                                                                                                Sun L, Liu J, Jin X, Wang Z, Li L, Bai W, et al. Perioperative management with biologics on severe aortic valve regurgitation caused by Behçet syndrome: the experience from a single center. 
Ther. Adv. Chronic. Dis. 2021, 
12, 1–13. 
[Google Scholar]                                                     
                                                 
                                                                                            
                                                
                                                    17.
                                                    
                                                                                                Kreibich M, Siepe M, Kroll J, Höhn R, Grohmann J, Beyersdorf F. Aneurysms of the Pulmonary Artery. 
Circulation 2015, 
131, 310–316. 
[Google Scholar]